סוגי טיפולים
סתימות אמלגם | סתימות לבנות | כתרים טרומיים בילדים | טיפולי שורש | כתרים לבנים | לשון קשורה בילודים | הנחיות לפני ואחרי טשטוש | הנחיות לאחר טיפול דנטלי | הנחיות לחבלות בשיניים
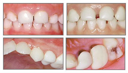
סתימות אמלגם
שחזורים (סתימות) אמלגם - הסתימה הכסופה, או בשמה המדויק סתימת אמלגם מורכבת מסגסוגת של מתכות והינה בעלת יתרונות רבים: זהו חומר חזק מאוד בעל עמידות מוכחת לאורך שנים בפה, החומר נוח לשימוש, מהיר לביצוע, וזול.
החסרון העקרי של האמלגם הוא צבעו הכסוף ובכף אסתטיקה ירודה.
לאחר שנים של מחקרים, נמצא שבריאותם של אנשים עם שחזורי אמלגם לא נפגעה. יחד עם זאת, מדינות כמו יפן, שוודיה, דנמרק וגרמניה מגבילות מאוד את שימושו של אמלגם עקב רעילותו לאדם ולסביבה. בארה"ב הדעות שונות. ארגון רופאי השיניים בארה"ב- ADA, ורשות ה FDA האמריקנית שחזורים אמלגם המחמירה מאשרים את השימוש בסתימות אלו.
סתימות לבנות
שחזורים (סתימות) לבנות שחזורים (סתימות) לבנות – הסתימה הלבנה מורכבת מחומר פלסטי מחוזק הקרוי שרף מרוכב (או בשמו המקצועי קומפוזיט) אחד היתרונות העיקרים של הסתימות הלבנות הוא אסתטיקה גבוהה ביותר כמו כן בסתימות אלו נוצר קשר כימי בין הסתימה לשן בנוסף לאחיזה המכאנית.
החסרונות העיקריים של הסתימות הלבנות הם זמן הכנה ארוך יותר, הטכניקה של הנחת הסתימה רגישה מאד, וישנו כיווץ של החומר במהלך השנים שעלול לגרום לעששת משנית (כלומר חורים מתחת לסתימות)
כתרים טרומיים בילדים
כאשר חלק גדול מכותרת השן נהרס בעקבות עששת ו/או כאשר מבוצע טיפול שורש בשן חלבית ברוב המקרים יש צורך לשחזר את צורת השן בעזרת כתר טרומי. זה הוא כתר ממתכת שמקיף את השן ושומר עליה עד נשירה טבעית.
החיסרון הגדול של הכתר הזה הוא אסתטי.
כיום ישנם כתרים לבנים שהם בעצם אותם כתרי מתכת חזקים שמעל המתכת ישנו מעטה לבן ואסתטי המכסה את הצבע המתכתי.
טיפולי שורש
טיפולי שורש בילדים - בשיני חלב ישנם שורשים שמכילים בתוכם עצבים, וכלי דם. כאשר העששת מתקדמת ומגיעה לעצב השן, בילדים, ברוב המקרים, יופיעו כאבים ואף נפיחות באזור.
טיפולי השורש בילדים מותאמים לחומרת הדלקת בעצב השן, כלומר בחלק מהמקרים אם עצב השן אינו מודלק באופן מלא ניתן לשמר חלק מהעצב ולקטוע רק את החלק המודלק של העצב, טיפול זה נקרא – קיטוע מוך והוא מאפשר לחלק הבריא של העצב להמשיך לחיות.
במקרים שהדלקת התקדמה יותר יש צורך להוציא את כל העצב מהשורש ולמלא את התעלות של השן בחומר מילוי מיוחד המאפשר לשן להישאר בפה ולהיספג באופן טבעי.
כתרים לבנים
סוף סוף ישנה אפשרות אסטטית לשחזר שיניים הרוסות חלביות בעזרת הכתרים הלבנים, הכתרים הטרומים שהיו בשימוש עד היום היו כתרי מתכת בלבד והיוו בעיה אסטטית במקרים רבים כאשר בחיוך של ילד נחשף כתר מתכת רחב, הכתרים הלבנים נכנסו לשימוש משנת 1991 בארה"ב ולאחרונה הגיעו גם לישראל. מדובר בעצם באותו כתר כסוף שעליו ישנו כיסוי לבן, הכנת השן והתאמה פשוטים והתוצאות מדברות בפני עצמן.
לשון קשורה בילודים

לשון קשורה מופיעה באופן שכיח יחסית בגיל הינקות בדרגות חומרה שונות. בחלק מהמקרים הקשר מחובר ללשון בחלק הקדמי יחסית שלה ואז הוא מכונה לשון קשורה קלאסית, ולעיתים החיבור כמעט ואינו נראה לעין וניתן רק למשש אותו, מצב המכונה לשון קשורה אחורית. הממצא שכיח יותר בבנים מאשר בבנות. החשיבות הרפואית של לשון קשורה נמצאת במחלוקת. ברוב המקרים לשון קשורה מפריעה בתהליך היניקה, וגורמת לכאבים, ופצעים בפטמה, או קושי לתפוס נכון את הפטמה בזמן יניקה.
ישנה אי בהירות בספרות לגבי לשון קשורה והגייה של מילים באופן נכון, כנראה שרק מספר קטן של מקרים ישנו קשר ישיר בין לשון קשורה ובין שיבושי הגיה.
הטיפול בלשון קשורה מוצדק כאשר ישנה הפרעה בתפקוד: קשיי הנקה, הופעה של קשיי הגייה, הגבלת תנועתיות של הלשון וכדומה. פעולת הניתוק של הלשון הקשורה בתינוקות: מרימים מעט את הלשון כלפי מעלה בעזרת אצבע בכדי לחשוף את הקשר, ניתן להניח ג'ל הרדמה מקומית למניעת כאב בזמן החיתוך. בעזרת מספריים מתירים את הקשר ועוצרים את הדימום הקל המקומי בעזרת גזה. בדרך כלל הניתוק אינו מלווה באי נוחות משמעותי של התינוק.
סיבוכים של הפעולה הם נדירים וכוללים דמום מקומי, ופגיעה בבלוטות הרוק באזור. לאחר הפעולה ניתן מייד להניק את התינוק ולהרגיש את השיפור.
למשך מספר ימים בבסיס הלשון נוצר פצע לבן – צהוב שיתרפא במהירות ללא צורך בטיפול נוסף.כאשר יש חדש ללשון קשורה מומלץ לבצע ייעוץ בשלבים מוקדמים ככל שניתן ממש סמוך ללידה, וזאת בכדי לבצע את הפעולה בגיל צעיר, בגיל מבוגר יותר לצורך ניתוק הלשון יש צורך בטשטוש או אף בהרדמה כללית.